eMotion Workstation
Mosoly a mozgásban
Mi az e-Motion munkaállomás?
Hatékonyság az egyszerűségben
A SHINING 3D e-Motion Workstation-je a világ első all-in-one digitális fogászati megoldása, amely ötvözi az intraorális szkennert, az arcszkennert és a fejlett mandibuláris mozgáskövető rendszert. Azáltal, hogy egyetlen eszközről több adatot rögzítünk, és zökkenőmentesen integráljuk azokat egy nagy teljesítményű szoftverbe, dinamikus virtuális páciens hozható létre, amely a komplex esetek széles skálájához alkalmazkodik. A klinikusok mostantól páratlan könnyedséggel és pontossággal nyújthatnak kiváló kezelési eredményeket, miközben a legmodernebb innovációt alkalmazzák.
Egy nagy teljesítményű szoftverplatform integrálja az adatokat az átfogó kezelési diagnosztikai elemzéshez
Intraorális adatok.
Arcadatok
Mandibuláris mozgáspálya+

CBCT adatok

Virtuális páciens
CBCT modell rekonstrukciója és szegmentálása
Több modell adatainak összehangolása és elemzése egyetlen koordinátarendszerben
Az állkapocs mozgásának adatai átvihetők az Exocad szoftverbe, hogy a fogászati laboratóriumok kezelési terveket készíthessenek.
Adatgyűjtés
Diagnosztikai elemzés
Tervezés
Laboratóriumi gyártás- Állkapocs mozgáspálya követése
- Állkapocs mozgáspálya-elemzés
- Optimális állkapocs-viszony meghatározása
ÁLLKAPOCS MOZGÁSPÁLYA KÖVETÉSE
Az e-Motion könnyedén rögzíti a páciens állkapocsmozgásait, intraorális szkennelési adatokat gyűjt, és zökkenőmentesen integrálja mindkét adatkészletet a szoftverbe. Ez az egyszerű protokoll lehetővé teszi a klinikusok számára, hogy pontos okklúzális kontaktus dinamikus adatokat kapjanak, segítve a protézisek tervezését, és hosszú távú, stabil helyreállítási eredményeket biztosítva a betegeknek.
ÁLLKAPOCS MOZGÁSPÁLYA-ELEMZÉS
Az e-Motion átfogó képet nyújt a kondilus és az incizális él mozgásáról különböző irányokban, felszabadítva a valós idejű 3D vizualizáció erejét az integrált CBCT adatokkal. Azáltal, hogy ezeket a mozgásokat szabványos 2D anatómiai síkokra vetíti, lehetővé teszi a mozgáskoordináció, az okklúzális szimmetria és a stabilitás pontos értékelését. Ez támogatja a TMD-s betegek pontos diagnózisát és kezelési tervét. Ez segíti a TMD-s betegek pontos diagnózisát és kezelési tervét.
OPTIMÁLIS ÁLLKAPOCS-VISZONY MEGHATÁROZÁSA
Az optimális állkapocs-viszony meghatározása segít sínek létrehozásában súlyos kopásnak kitett páciensek számára. Az e-Motion szoftvere támogatja a síntervezést is a páciens intraorális szkennelési adatai alapján, zökkenőmentesen integrálva egy fogászati nyomtatóval a közvetlen klinikán belüli nyomtatáshoz. Ez nemcsak egyszerűsíti a folyamatot, hanem javítja a páciensek általános fogászati ellátási élményét is.
MEGJEGYZÉS: Ez a modul csak a TMD (temporomandibuláris zavar) nélküli betegek számára alkalmas.

Optimális állkapocs-viszony meghatározása + IPG
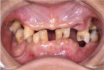
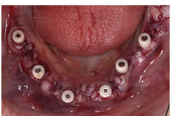
Precíz munkafolyamat fogatlan implantátumok esetén
Komplex, fogatlan implantátum-restaurációs esetekben a pontos állkapocs-kapcsolat elérése hagyományosan kihívást jelentő és figyelmen kívül hagyott lépés volt. Az e-Motion most áthidalja ezt a szakadékot a digitális restaurációs folyamatban. Ezenkívül az Elite IPG technológiájával ez a forradalmi munkafolyamat jobb okklúziót eredményez, és garantálja a fogpótlások passzív illeszkedését.
1


Kezelési terv:
Felső állkapocs: Átmeneti fogsor
Alsó állkapocs: Azonnali terhelés
2


Standard posztoperatív intraorális vizsgálat, valamint az alsó állkapocs IPG-vizsgálata az implantátumok relatív elhelyezkedésének megerősítésére. Az állkapocs pályájának rögzítése az optimális állkapocs-kapcsolat megerősítésére.
3


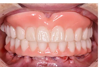
Az ideiglenes fogpótlások tervezésének és nyomtatásának köszönhetően a páciens gyorsan esztétikus és kényelmes ideiglenes fogsort kap.

Az e-Motion megoldás előnyei
Az e-Motion megoldás optimalizálja az összetett protokollokat, jelentősen növelve a hatékonyságot a kihívást jelentő esetekben, mint például a fogatlan implantátumok. A CBCT tervezéshez és az e-Motion precíz állkapocs-viszony felméréshez és az implantátum pozicionálásához való felhasználásának lehetőségével a Shining 3D fejlett technológiája lehetővé teszi a klinikusok számára, hogy kivételes pontosságot érjenek el a fogsorok és protézisek készítésekor. Ez a zökkenőmentes integráció javítja a betegek kényelmét, fokozza a kezelés kiszámíthatóságát, és meghosszabbítja a restaurációs eredmények tartósságát. A munkafolyamatok egyszerűsítésével és a pontosság növelésével az e-Motion megoldás átalakítja a digitális fogászatot mind az orvosok, mind a betegek számára.
– Dr. Isaac Tawil, DDS MS, Egyesült Államok
Rugalmas konfigurációk és moduláris opciók a változatos klinikai igények kielégítésére

Aoralscan Elite Wireless

Aoralscan Elite

Aoralscan 3 Wireless

Aoralscan 3
Műszaki adatok
e-Motion munkaállomás PC konfiguráció
| Processzor | i7-12700 |
| Memória | 32GB, 4800MHz |
| Videókártya | NVIDIA RTX A2000, GDDR6, 12GB |
| Operációs rendszer | Windows 10 Professional |
| Képernyő felbontás | 23.8″, 1920×1080 |
| Méretek (állvány nélkül) (magasság × szélesség × mélység) | 320.98mm × 538.80mm × 54.10mm |
Gy.I.K.
Milyen típusú intraorális szkennerek kompatibilisek az E-motion készülékkel?
Jelenleg 4 típusú SHINING 3D intraorális szkenner létezik, amelyek megfelelően felszerelhetők az E-motion rendszer részét képező kocsira: ezek az Aoralscan Elite Wireless, az Aoralscan Elite, az Aoralscan 3 Wireless és az Aoralscan 3.
Hogyan rögzíthető az állkapocs mozgása mély harapású betegeknél?
Mély harapás esetén speciális mozgáskövetőt biztosítunk a pontos adatrögzítés érdekében.
A normál harapású páciensek közvetlenül a fogakra ragasztható jelölőket használhatnak.
Kompatibilisek a Jaw Motion modulok harmadik féltől származó szoftverekkel?
Igen. A pályafájlok és a beállított állkapocs-kapcsolatok exportálhatók az Exocad programba további tervezés céljából.
Mi történik, ha a markerek vagy a mozgáskövető leválnak a felvétel közben?
A szoftver lehetővé teszi az újbóli felismerést a markerek és a nyomkövető újbóli csatlakoztatása után, biztosítva a rögzítési folyamat zökkenőmentes folytatását.
Segíthet a szoftver a TMD diagnosztizálásában?
Igen. Javítja az elemzést a mozgáskoordináció, az okklúzális szimmetria és a stabilitás vizualizálásával, de a végső diagnózis a klinikus belátása szerint történik.
Hasznosak-e a Jaw Motion modulok a teljes fogívű fogak esetén?
Igen. Az Optimális Állkapocs Reláció modul segít meghatározni az okklúziós pozíciót teljesen fogatlan esetekben, megbízható harapásmegerősítést biztosítva a teljes fogívet beültető implantátum-restaurációkhoz
és a kivehető fogpótlásokhoz.
Integrálhatók-e az állkapocs mozgásadatai a CBCT-vizsgálatokkal?
Igen. Az állkapocs mozgásának trajektóriaelemzéséhez DICOM adatok integrálása szükséges, amely átfogó és többdimenziós elemzést kínál a kondilus és az incizális él mozgásának valós idejű 3D-s vizualizációihoz.
A DICOM adatok támogatják az stl formátumba történő exportálást?
Igen. Az állkapocs mozgásának pályája elemző modul támogatja a szegmentált DICOM adatok STL fájlokként történő exportálását.
Nehéz beépíteni az Állkapocs Mozgás Modulját a klinikai gyakorlatba?
A modul intuitív animált útmutatókkal és felhasználóbarát felülettel készült, így
a klinikusok minimális betanítással könnyen elsajátíthatják a használatát. Elkötelezett támogató csapatunk is rendelkezésre áll, hogy segítséget nyújtson az átállás során.
Hányféle állkapocsmozgás-követőt kínálnak?
Kétféle állkapocsmozgás-követőt kínálunk: a cementes retenciós állkapocsmozgás-követőt természetes fogakkal vagy kivehető fogsorral élő páciensek számára, valamint a csavaros retenciós állkapocsmozgás-követőt All-on-X implantátummal élő páciensek számára.
Hányszor használhatók a nyomkövetők? Egyszer használatosak?
A nyomkövető egy fém nyomkövető testből és egy geometriai alakú héjból áll. A fém nyomkövető test akár 100 sterilizálási ciklusig, a héj pedig akár 50 ciklusig újrafelhasználható. Nem egyszer használatosak.
Mekkora a CBCT szükséges látómezeje az állkapocs mozgásához?
A CBCT ideális látómezeje (FOV) 15 × 12 cm, a minimálisan szükséges látómezeje pedig 14 × 9 cm. Egy ilyen látómezővel rendelkező CBCT-készülékben néha az áll alsó része nem kerül felvételre, mivel biztosítani kell, hogy a condylus pozíciója is rögzítésre kerüljön.
