Esettanulmány Digitális workflow az Elite, MetiSmile-MR és AccuFab-F1 segítségével
Shining 3D digitális munkafolyamat fogsorokhoz az Aoralscan Elite és a MetiSmile-MR segítségével
Fogatlan esetekben a funkcionális precizitás és a természetes esztétika elérése mindig is kihívást jelentett. Az Aoralscan Elite és a MetiSmile-MR digitális integrációjával azonban az intraorális és az arcszkennelés zökkenőmentesen kombinálható, így kiemelkedő pontosságú és esztétikus komplett digitális fogpótlások készíthetők.
Ma megtiszteltetés számunkra, hogy bemutathatjuk Dr. Marco Van Tongeren, egy neves holland fogorvos esetét, akit a fogatlan és az implantátummal támogatott fogpótlások digitális munkafolyamatai terén szerzett szakértelméért ismertek el.
Dr. Marco Van Tongeren
Ebben az esetben egy idős páciens a Shining 3D teljesen digitális munkafolyamatával újította fel fogsorát. Összehasonlításképpen elkészítettük a digitális műgyanta megoldásunkkal készült 3D-nyomtatott fogsort és a mart PMMA fogsort is.
Esetprofil
A páciens egy 71 éves férfi, aki több mint 35 éve visel teljes műfogsort, és panaszkodott, hogy fogsora kopott és kényelmetlen a használata.
A beteg klinikai képe
Egy átfogó klinikai vizsgálatot követően, amely megállapította a kopott fogsorfogakat, az esztétikai hiányosságokat és a funkcionális problémákat, köztük a nem megfelelő illeszkedést, Dr. Marco úgy döntött, hogy egy teljesen digitális munkafolyamat segítségével új fogsort készít, amely fokozott pontosságot, illeszkedést és a páciens kényelmét biztosítja.
Célkitűzés
Komplett digitális fogpótlások készítése a Shining 3D Aoralscan Elite és MetiSmile-MR segítségével egy teljesen integrált CAD/CAM munkafolyamat keretében, értékelve a műfogsor teljesítményét a PMMA-val összehasonlítva.
Kezelési terv
A digitális munkafolyamat a fogatlan ív intraorális szkennelésével kezdődött az Aoralscan Elite segítségével, majd egy egyedi tálca tervezésével és 3D nyomtatásával kezdődött. A tálcát először intraorálisan szkennelték, majd extraorális szkennelést végeztek az optimális állkapocs kapcsolat rögzítésére MetiSmile-MR segítségével. Az esetet a Shining 3D felhőplatformon keresztül továbbították a Dental Design Service-hez tervezés céljából. A végleges fogsorokat 3D nyomtatással és marással is elkészítették, utómunkával, majd az előregyártott fogak nyomtatott alapra történő ragasztásával, majd polírozásával fejezték be.
Adatgyűjtés
Fogatlan szkennelés az Aoralscan Elite segítségével
A szkenneléshez a mozgatható nyálkahártya-adatok biztosítják a pontos eredmények alapját. Az Aoralscan Elite elég jól rögzíti a funkcionális szegélyeket és biztosítja a fogsor megfelelő illeszkedését.
Intraorális vizsgálat fogatlan ívek és funkcionális határok rögzítése
Egyedi tálca tervezése és 3D nyomtatása
Az egyedi tálcát először a Lab szoftverben tervezték meg és nyomtatták ki. Az állkapocs mozgáskövetőjét ezután viasszal rögzítették a tálcára, és markereket rögzítettek, hogy megkönnyítsék az állkapocs kapcsolatának pontos rögzítését. Az extra match funkció segítségével Dr. Marco 360°-os extraorális pásztázást végzett a szerelvényen, amely megadta a szükséges adatokat a későbbi arcszkenneléshez.
Egyedi tálca szájon kívüli szkennelése Jaw Motion Tracker segítségével
Optimális állkapocs kapcsolat meghatározása
Ebben a munkafolyamatban nem használták a páciens korábbi harapás-regisztrációját, és nem készült viaszperem. Egy egyedi tálcát helyeztek a szájba, a szürke állkapocs mozgáskövetővel a felső állkapcson, a kékkel pedig az alsó állkapcson, mindegyik négy markert hordozott. A folyamat statikus arcrögzítéssel kezdődött, amely lehetővé tette a markerek pontos észlelését és az arcadatok zökkenőmentes igazítását az extra match scan segítségével.
Statikus arcrögzítés
A következő lépés a pálya rögzítése volt, beleértve 30 kis, gyors szájnyitó mozdulatot, hogy meghatározzuk a legstabilabb és megismételhető utat. A klinikus irányítja a mandibula mozgását, hogy megakadályozza a kiálló eltéréseket és biztosítsa az állkapocs kapcsolati adatainak pontosságát.
Az adatgyűjtés után a szoftver automatikusan azonosítja a kulcsfontosságú tereptárgyakat, és ezen referenciapontok alapján létrehoz egy koordinátarendszert. A függőleges méret beállítható az optimális okklúziós magasság meghatározásához. A vízszintes viszony esetében a szoftver kiszámítja a mozgáspálya metszéspontját a vízszintes síkkal, megadva a centrális viszonyt és a miofasciális referenciapontokat a klinikus számára. Az okklúzió könnyen értékelhető a fogív mentén elhelyezkedő négy keresztmetszeti síkon keresztül, a szoftver által megjelenített pontos interokklúziós mérésekkel. Miután az új állkapocs-viszony meghatározásra került, minimális beállításra van szükség a bepróbálási szakaszban, ami ebben az esetben lehetővé teszi a közvetlen átmenetet a végső fogsorhoz.
Az optimális állkapocs-kapcsolat elemzésének eredményei
Tervezés és gyártás
Fogsortervezés a Shining 3D felhőplatformon
Miután meghatározták az új mandibula pozícióját, az összes szkennelési és páciensadatot zökkenőmentesen feltöltötték a Shining 3D felhőalapú tervezőszolgáltatásába. A tapasztalt technikusok részletes tervezési utasításokat kaptak, beleértve egy valamivel rövidebb alsó fogsort is. A kész tervet 24 órán belül visszaküldték, online áttekintették és jóváhagyták.
A Shining 3D felhőalapú tervezési szolgáltatása
Nyomtatás és utófeldolgozás
A fogsor alapját AccuWare-ben szeletelték, majd 75 perc alatt 3D-nyomtatással, Shining 3D DT02 gyantával készítették el az AccuFab-F1 nyomtatón. Az utófeldolgozást FabWash-sel végezték, majd a végső megmunkálást, beleértve a támaszték eltávolítását, az alkoholos mosást és a kikeményítést, végezték. Az előregyártott fogakat ezután a nyomtatott fogsor alaphoz ragasztották, ezzel elkészült a fogsor összeszerelése.
Nyomtatás és utófeldolgozás Shining 3D berendezésekkel
Fogsoralap marása
Ennél a megközelítésnél a fogsoralapot PMMA-ból marták marógéppel. A marási folyamat 160 percig tartott, és két lépésben történt.
Mart fogsoralap
Mart és 3D nyomtatott fogsoralap összehasonlítása
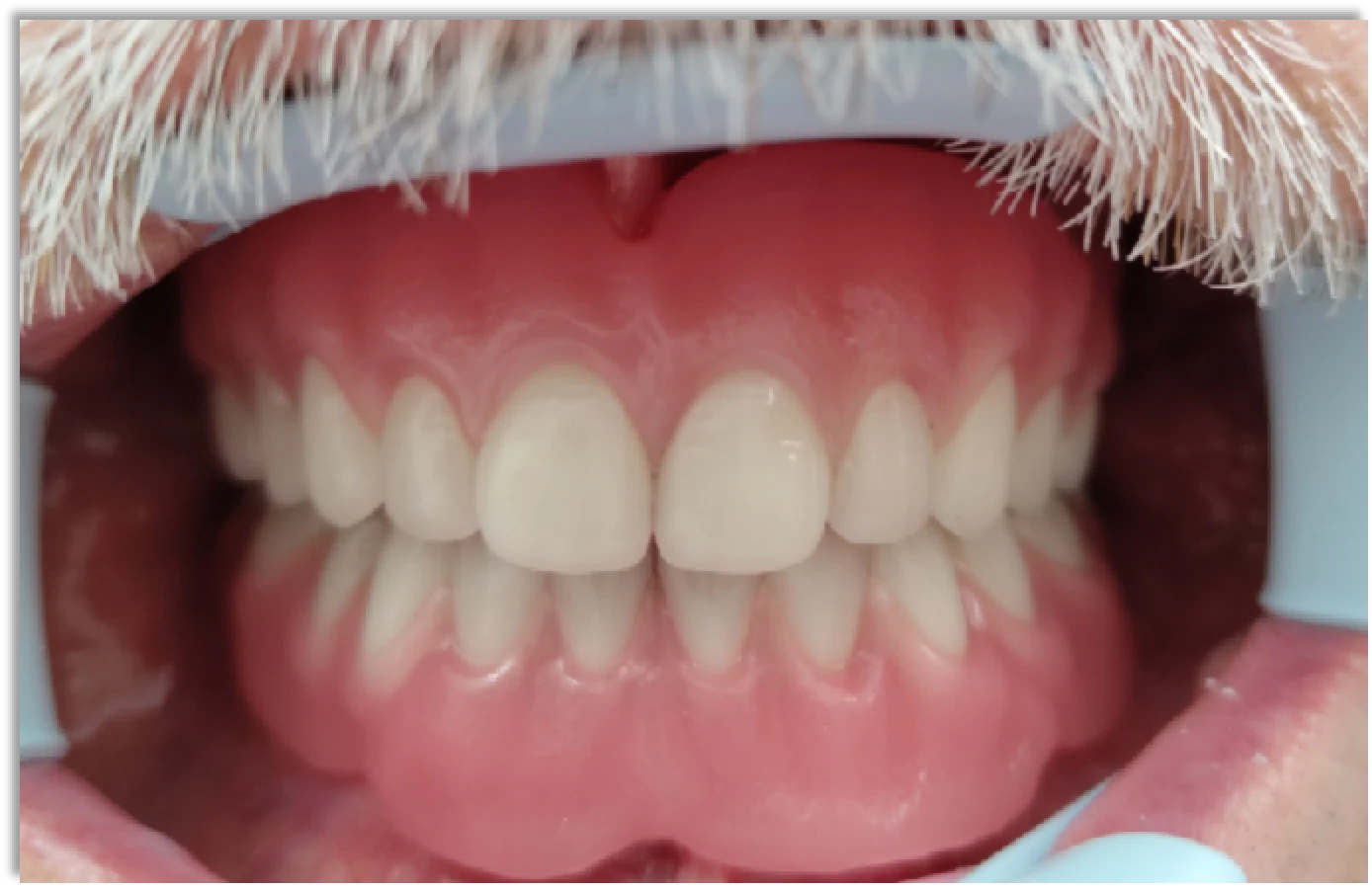
Az első bejelentkezéskor a páciens nagyobb kényelméről számolt be a 3D nyomtatott fogsorral, és egyértelműen előnyben részesítette a mindennapi viselését. Klinikailag a frézelt fogsor behelyezése után okklúziós korrekciót igényelt, míg a 3D nyomtatott fogsor elfogadható okklúziót mutatott módosítás nélkül. Mind a klinikus, mind a technikus áttekintette a munkafolyamatot a folyamat során, értékes információkra szert téve, és megerősítve az elégedettségét a végeredménnyel. A páciens azt is megjegyezte, hogy a nyomtatott fogsor könnyebbnek és természetesebbnek érződött, és amikor az ízérzékelésről kérdezték, összességében elégedettnek bizonyult. Ez az eset lehetőséget ad a gyanta anyag hosszú távú monitorozására, és klinikai teljesítményének értékelésére hosszabb távú használat során.
3D nyomtatott fogsor próba
Ez az eset teljes egészében digitális munkafolyamat keretében készült, olyan hagyományos lépések nélkül, mint a viaszos perem vagy a felpróbálás. A 3D nyomtatott fogsor megfelelő okklúziót ért el beállítás nélkül, és a páciens a kényelem miatt is előnyben részesítette. A frézelt fogsor okklúzális módosítást igényelt. Ezek az eredmények rávilágítanak a 3D nyomtatott műgyanta fogsorok klinikai potenciáljára és hosszú távú értékére.
Klinikai betekintés Dr. Marco-tól
Ez az eset bemutatta az Aoralscan Elite és a MetiSmile-MR kombinációjának lenyűgöző és felhasználóbarát munkafolyamatát, amely könnyen integrálható a napi gyakorlatba. A meglévő fogsorokból vagy más segédeszközökből származó referenciák használata nélkül az optimális állkapocs-regisztrálás pontos referenciát biztosított a centrális viszonyhoz, míg a szoftver lehetővé tette a rugalmasság és a klinikai kontroll ellenőrzését.
A Shining 3D nyomtatott fogsorral kapcsolatos első benyomások nagyon pozitívak: a páciens nagyobb kényelemről számolt be, és a protézis több hét után is stabil maradt. A rendelőben töltött teljes idő körülbelül 90 perc volt, ami a rutin gyakorlatban potenciálisan 60 percre csökkenthető. Összességében a Jaw Motion funkció pontosságot, hatékonyságot és klinikai magabiztosságot biztosít a helyes állkapocs-viszony elérésében.
Következtetés
Ez az eset bemutatja, hogyan alakíthatja át a fogpótlás-kezelést egy teljesen digitális munkafolyamat, amely az Aoralscan Elite, a MetiSmile-MR és az AccuFab-F1 3D nyomtatás kombinációját alkalmazza. A hagyományos marógépekhez képest ez a megközelítés egyszerűsíti a folyamatot, csökkenti a manuális lépéseket és nagyobb pontosságot ér el. Az optimális állkapocs-viszony pontos rögzítésével a klinikusok kiszámítható eredményeket érhetnek el a betegek fokozott kényelme mellett, bemutatva a digitális fogászat hatékonyságát, pontosságát és jövőbeli lehetőségeit.
